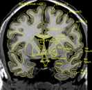
From the Brain Biodiversity Bank of Michigan State University, MRI sections through a living human brain as well as corresponding sections stained for cell bodies or for nerve fibers
General & regional anatomical modules including 3D views, clinical text, dissection slides and videos, MRI correlations, biomechanics animations, and self-quizzes; includes focii on Head & Neck, Dental, Spine, Hand & Shoulder, Knee, Abdomen & Thorax, Clinical & Surgical Anatomy, Sports Anatomy, Anatomy Trains for massage, Pelvic Floor, Chiropractic & Acupuncture, etc.
Access: Off Campus Access is available for: UNC-Chapel Hill students, faculty, and staff; UNC Hospitals employees; UNC-Chapel Hill affiliated AHEC users.
Anatomy.TV mobile app available at https://primalpictures.com/news/updated-ios-anatomy-apps-now-available
General & regional anatomical modules including 3D views, clinical text, dissection slides and videos, MRI correlations, biomechanics animations, and self-quizzes; includes focii on Head & Neck, Dental, Spine, Hand & Shoulder, Knee, Abdomen & Thorax, Clinical & Surgical Anatomy, Sports Anatomy, Anatomy Trains for massage, Pelvic Floor, Chiropractic & Acupuncture, etc.
Access: Off Campus Access is available for: UNC-Chapel Hill students, faculty, and staff; UNC Hospitals employees; UNC-Chapel Hill affiliated AHEC users.
Anatomy.TV mobile app available at https://primalpictures.com/news/updated-ios-anatomy-apps-now-available
A point-of-care visual diagnostic clinical decision support system including more than 17,000 dermatology, oral pathology, ophthalmology, public health, drug reaction, and other images; differential builder, travel info, mobile app available. Enter a travel destination to see all currently endemic diseases and/or outbreaks.
Access: Off Campus Access is available for: UNC-Chapel Hill students, faculty, and staff; UNC Hospitals employees; UNC-Chapel Hill affiliated AHEC users.
General & regional anatomical modules including 3D views, clinical text, dissection slides and videos, MRI correlations, biomechanics animations, and self-quizzes; includes focii on Head & Neck, Dental, Spine, Hand & Shoulder, Knee, Abdomen & Thorax, Clinical & Surgical Anatomy, Sports Anatomy, Anatomy Trains for massage, Pelvic Floor, Chiropractic & Acupuncture, etc.
Access: Off Campus Access is available for: UNC-Chapel Hill students, faculty, and staff; UNC Hospitals employees; UNC-Chapel Hill affiliated AHEC users.
Anatomy.TV mobile app available at https://primalpictures.com/news/updated-ios-anatomy-apps-now-available